Come si calcola il rischio reale per il tumore al seno
Forum RFS: come stimare il rischio individuale di tumore al seno (modelli Gail/NSABP), fattori di rischio e indicazioni per una sorveglianza attiva e personalizzata.
Fede80
Buongiorno a tutti, io ci sono.
Marie
Buongiorno a tutti
Marie
salvocatania
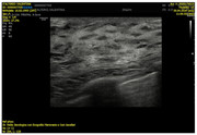
Buongiorno le ricapitolo la mia storia ho 29 anni, familiarità nonna materna cancro al seno più o meno a 60 anni. Il 18 Aprile ho iniziato ad avvertire dolore al seno destro e tramite autopalpazione ho sentito delle masse/palline doloranti al tatto. Ad oggi queste rimangono doloranti, il capezzolo del seno interessato mi sembra più scuro, con qualche pellicina e più sensibile rispetto all'altro. Avverto dolore al seno generalizzato diciamo lieve e non costante, a volte ho come sensazione di bruciore alla spalla/braccio, dolore ascellare e i linfonodi li sento più gonfi. Ho fatto più controlli avendo ricevuto esiti diversi.
Le allego le immagini delle eco per avere anche suo parere in quanto hanno referti differenti ma entrambe evidenziano delle formazioni.
1 Eco 30/04/24 : (fibroadenoma in corrispondenza del QIE in sede perireolare di circa 6 mm e cisti anecogena di circa 3.7 mm)
2 Eco 06/05/24 : (Categoria diagnostica BIRADS 1, le dottoressa dice ghiandole)
3 Eco 22/05/24 : (Aspetti di mastopatia fibrocistica. Cisti anecogena omogenea al QIE dx dm. 4.5 mm. Verosimile formazione fibroadenomatosa in sede periareolare dx ore 11 dm 7.8mm.)
Quest'ultima ecografia è stata fatta dal mio ginecologo che è anche senologo. E mi riferisce che i noduli che sento al tatto non sono le formazioni soprariportate, bensì sono un ammasso ghiandolare con dm. 7.5 mm. Inoltre io accanto a questo nodulo sento anche un altra pallina piccolina che mi sembra di vedere anche dalle immagini dell'ecografia, ma non è stata nominata dal medico.
Tutto questo mi porta in confusione perché il nodulo che avverto è dolente e non mi sembra come le altre ghiandole. Inoltre la cisti e il fibroadenoma sono aumentati di dimensioni a distanza di poco.
Capezzolo seno (dx) interessato:
Capezzolo sx:
Dottore so di essere prolissa ma non sto tranquilla, le chiedo un suo parere, secondo lei è il caso di fare altre indagini?
La ringrazio in anticipo per l'attenzione
Buongiorno le ricapitolo la mia storia ho 29 anni, familiarità nonna materna cancro al seno più o meno a 60 anni. Il 18 Aprile ho iniziato ad avvertire dolore al seno destro e tramite autopalpazione ho sentito delle masse/palline doloranti al tatto. Ad oggi queste rimangono doloranti, il capezzolo del seno interessato mi sembra più scuro, con qualche pellicina e più sensibile rispetto all'altro. Avverto dolore al seno generalizzato diciamo lieve e non costante, a volte ho come sensazione di bruciore alla spalla/braccio, dolore ascellare e i linfonodi li sento più gonfi. Ho fatto più controlli avendo ricevuto esiti diversi.
Le allego le immagini delle eco per avere anche suo parere in quanto hanno referti differenti ma entrambe evidenziano delle formazioni.
1 Eco 30/04/24 : (fibroadenoma in corrispondenza del QIE in sede perireolare di circa 6 mm e cisti anecogena di circa 3.7 mm)
2 Eco 06/05/24 : (Categoria diagnostica BIRADS 1, le dottoressa dice ghiandole)
3 Eco 22/05/24 : (Aspetti di mastopatia fibrocistica. Cisti anecogena omogenea al QIE dx dm. 4.5 mm. Verosimile formazione fibroadenomatosa in sede periareolare dx ore 11 dm 7.8mm.)
Quest'ultima ecografia è stata fatta dal mio ginecologo che è anche senologo. E mi riferisce che i noduli che sento al tatto non sono le formazioni soprariportate, bensì sono un ammasso ghiandolare con dm. 7.5 mm. Inoltre io accanto a questo nodulo sento anche un altra pallina piccolina che mi sembra di vedere anche dalle immagini dell'ecografia, ma non è stata nominata dal medico.
Tutto questo mi porta in confusione perché il nodulo che avverto è dolente e non mi sembra come le altre ghiandole. Inoltre la cisti e il fibroadenoma sono aumentati di dimensioni a distanza di poco.
Capezzolo seno (dx) interessato:
Capezzolo sx:
Dottore so di essere prolissa ma non sto tranquilla, le chiedo un suo parere, secondo lei è il caso di fare altre indagini?
La ringrazio in anticipo per l'attenzione
Luciana
Patri Fiduciaria:
Oggi una caterva di fili colorati per:
- Tere ❤️
che incontra i plastici per la prima espansione degli espansori 🌈🌈🌈🌈🌈🌈🌈🌈🌈🌈🌈🌈🌈🌈🌈🌈🌈🌈🌈🌈
- Marla2024❤️
che fa intervento di tumeroctomia e biopsia del linfonodo sentinella in Spagna 🌈🌈🌈🌈🌈🌈🌈🌈🌈🌈🌈🌈🌈🌈🌈🌈🌈🌈
- le altre RFS ❤️
impegnate in visite terapie controlli attese o che ne hanno comunque bisogno 🌈🌈🌈🌈🌈🌈🌈🌈🌈🌈🌈🌈🌈🌈🌈
Con voi 🤗🤗🤗🤗
Ily 82 fiduciaria
Buongiorno a tutti io ci sono ❤️
Norma86 Fiduciaria
Io ci sono

Norma86 Fiduciaria
Tati:
Dottore
Ragazze buongiorno
Ho fatto dissezione ascellare giovedì scorso, finora solo indolenzimento e dolore sotto l’ascella, stamattina ho trovato il braccio leggermente gonfio al polso cosa devo fare, significa già linfedema?
Più tardi ho la medicazione
Naturalmente se ti faranno la medicazione ti diranno di cosa si tratta.
Aggiornaci
Dafne73
Buongiorno blog



Norma86 Fiduciaria
Patri Fiduciaria:
- Tere ❤️
che incontra i plastici per la prima espansione degli espansori 🌈🌈🌈🌈🌈🌈🌈🌈🌈🌈🌈🌈🌈🌈🌈🌈🌈🌈🌈🌈
- Marla2024❤️
che fa intervento di tumeroctomia e biopsia del linfonodo sentinella in Spagna 🌈🌈🌈🌈🌈🌈🌈🌈🌈🌈🌈🌈🌈🌈🌈🌈🌈🌈
- le altre RFS ❤️
impegnate in visite terapie controlli attese o che ne hanno comunque bisogno 🌈🌈🌈🌈🌈🌈🌈🌈🌈🌈🌈🌈🌈🌈🌈🌈🌈🌈
❤️












❤️❤️❤️
Norma86 Fiduciaria
Ily 82 fiduciaria:
Buongiorno a tutti io ci sono ❤️Ily come andiamo ?








Norma86 Fiduciaria
Norma86:
Norma86:
Norma 86:
A meno che il dottore non organizzi il quinto Convegno Nazionale RFS
Ladibug:
Sarebbe meraviglioso ❤
Speranza 77:
Che bello che sarebbe
Dark Elena:
Dott. Catania il prossimo raduno lo facciamo in crociera
Luisa86:
Mi unisco alla petizione
Norma 86:
Ci proverò ancora........ a provocare il dottore
salvocatania:
Mai dire mai !!!!
Le spiegherò con molti dettagli perchè non sia il momento di organizzare convegni. Malgrado io sia il primo cui mancano gli incontri reali .
Mi provochi più avanti ancora e le spiegherò meglio.
Patri 70:
doc sicuramente avrà delle spiegazioni plausibili sul perché per lei non è il momento ma noi siamo di coccio(come si dice a Roma) e continueremo a provocarla spesso!
Tati
Ha ragione, allora attendiamo il momento per passare al REALE❤️
Dottore le ricopio ogni giorno questo post aggiornato ..per continuare a provocarla come ha chiesto lei[/quote]
Luisa86
Io ci sono

Luisa86
Tere:
Buongiorno 😘
Io ci sono
Stamani ho la prima espansione degli espansori appunto...e domani ritiro istologico definitivo!
Due giornate impegnative.
Oggi per oggi
🌈🌈🌈A tutti noi
Un mega abbraccio 🫂




Luisa86
Patri Fiduciaria:
per:
- Tere ❤️
che incontra i plastici per la prima espansione degli espansori 🌈🌈🌈🌈🌈🌈🌈🌈🌈🌈🌈🌈🌈🌈🌈🌈🌈🌈🌈🌈
- Marla2024❤️
che fa intervento di tumeroctomia e biopsia del linfonodo sentinella in Spagna 🌈🌈🌈🌈🌈🌈🌈🌈🌈🌈🌈🌈🌈🌈🌈🌈🌈🌈
- le altre RFS ❤️
impegnate in visite terapie controlli attese o che ne hanno comunque bisogno 🌈🌈🌈🌈🌈🌈🌈🌈🌈🌈🌈🌈🌈🌈🌈🌈🌈🌈









Luisa86
Passi l'omofobia di Vannacci, perchè da lui razzista ce l'aspettiamo tutti, ma se la "gaffe" (o disattenzione) la fa il nostro papa allora nessuno ci capisce più nulla.



https://roma.corriere.it/notizie/politica/24_maggio_28/papa-francesco-frociaggine-precedenti-ad0ea21b-e684-4123-8af2-de8e00fd5xlk.shtml